新宿WSTデンタルクリニックでは、できる限り歯を抜かずに残すことを目指し、精密根管治療(マイクロエンド) を行っています。
この治療では、以下のような世界基準の設備と技術を活用しています:
これらを組み合わせることで、根尖性歯周炎(歯の根の先の炎症)や再根管治療、さらには 歯髄温存療法(VPT) にも対応可能です。
私たちは、「歯を長く残すこと」 をゴールに、患者様一人ひとりに合わせた治療を提供しています。
「歯の根の先が膿んでいる」と言われたことはありませんか?
これは根尖性歯周炎(こんせんせいししゅうえん)と呼ばれる状態で、歯の神経(歯髄)が細菌感染し、炎症が根の先端にまで及んでいることを意味します。
日本の保険診療ではラバーダムやマイクロスコープの使用が難しいケースも多く、成功率は約40〜50%と報告されています。一方、海外(特に欧米)では、初回治療約90%、再治療約70〜80%と報告されています(Ng YL et al., Int Endod J, 2008)。
CTで根管形態を三次元的に把握し、他の診査と併せて保存可能性を診断します。
根管の数・弯曲・破折の有無を立体的に確認。
CT画像は3次元的に歯の中の構造を可視化することで、術中も安全に治療をしたり、見逃している根管を明示するのに役立ちます。

唾液や細菌の侵入を防ぐ国際標準の手技。根尖性歯周炎の原因は細菌感染と言われています。ラバーダム防湿は根管治療が必要な歯を口腔内、主に唾液に含まれる細菌から隔離することで、無菌的な処置を可能にします。
少なくとも、治療による根管内への細菌感染を防げるという意味でとても有効な方法として広く利用されています。しかしながら日本においては、ラバーダム防湿に対する点数が付与されていないため、保険診療を主にされている歯科医師にとってはインセンティブがなく、ラバーダム防湿することなく診療することが主流となっている現実があります。また、着用にもある程度のテクニックがいる為、時間が制限されている保険診療では時間がかかることを挙げて使用しない歯科医師が多いです。

Ni-Tiファイルと薬液洗浄で感染源を徹底除去。
2000年台初頭から広く使用され始めており、特徴としては弯曲している根管に追従し、根管形態を保ちながら根管の管を適切な大きさまで広げてくれる優れもので、モーター駆動で使用することができます。
日本では現在でも、手用ファイルと言われるものを使用して根管の管を形成(根管形成と呼びます)している歯科医院が多く、本来、歯が有するオリジナルな根管形態を壊しやすいと言われており、それはつまり根管内の細菌を除去、消毒しづらくしてしまうことに繋がり、根管治療の成功率が落ちると言われております。手用ファイルを使用しているから成功率が落ちるわけではないものの、根管形態を変形させてしまう可能性があり、結果的に成功率が下落するという解釈です。
臨床的な意味合いとして、ニッケルチタンは処置時間を短縮でき、かつ効率的に根管形成が可能になるので患者負担も減り、術者の負担も大きく軽減しました。
ただし、根管形成には根の細菌を除去するだけでなく、洗浄液(ここでは次亜塩素酸ナトリウムという強い薬剤を使用しますが)を根管内に灌流を促す作用も増すことが期待され、除菌効果も向上すると言われております。

根管充填の役割は、今までの工程で根管内の細菌を減少させた環境を長く続くように封鎖をすることが目的です。やはり、根管充填が不十分、つまり均一緊密ではないと、口腔内の細菌が被せ物の隙間から侵入してきて根管内に入ると再感染を引き起こす原因になってしまうことが知られています。
主に使用材料は、ピンク色をした天然ゴムをメインとして、それと根管の周囲にできる隙間をバイオセラミックシーラーという液状のものを使用して充填をします。

セラミッククラウンで補強し、機能・審美を回復。
根管充填後は、レジンという材料で空洞を埋め、のちに被せ物を歯に被せて一連の治療が終了します。実は、この補綴治療の質も根管治療の質と同じくらい重要であることが知られています。つまり、根管治療がうまくいっても、唾液に含まれる細菌から歯を守る第一線にいるのは被せ物(クラウン)であるためそれの質が悪い(例えば歯と被せ物の間に大きな隙間がある)と再感染を引き起こしてしまいます。
根管治療を台無しにしないように、質の良い補綴治療もセットで大事になってくることも強調したいです。
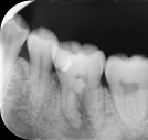
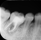
炎症を起こした神経を除去し、根管内を無菌化した上で根充およびクラウン補綴を行いました。

根管治療100,000円+ファイバーコア築造33,000円+セラミッククラウン115,500円.
神経の部屋に近接する深い虫歯でしたが、MTAセメントにより神経を保護し、歯の生理的機能を保ったまま修復しました。

歯髄温存療法66,000円+レジン築造33,000円+ゴールドインレー132,000円
当院の自費治療には、基本的に保証期間は設けておりません。ただし、根管治療後1年以内に再発が認められた場合には、無償にて根管治療の再治療を行います。再治療の結果、外科的な処置(外科的歯内療法)が必要となった場合には、別途33,000円(税込)にてご対応いたします。
治療中にマイクロスコープ等を使用して歯の破折線が確認され、抜歯適応と診断された場合、または患者様の同意が得られた場合には、通常の治療費用の全額をいただくことはありません。この場合、破折診断料として22,000円(税込)を頂戴いたします。何卒ご理解いただきますようお願い申し上げます。
| 治療内容 | 金額(税込) | 説明 |
|---|---|---|
| 精密根管治療(前歯) | 80,000円 | マイクロスコープ・ラバーダム使用 |
| 精密根管治療(小臼歯) | 90,000円 | CT診断含む精密処置 |
| 精密根管治療(大臼歯) | 100,000円 | 顕微鏡下・複根管対応 |
| 再根管治療加算 | +10,000円 | 再感染除去・再充填含む |
| 歯内療法外科 | 165,000円 | 外科的に根の先を切る手術 |
| 歯髄温存療法(VPT) | 66,000円 | 神経を残す最新治療 |
| 初診・CT撮影料・セカンドオピニオン | 15,000円 | 初診時CT撮影および相談料 |


